Стоматологическая клиника Рэгем на метро Измайловская

Популярные услуги

Акции и скидки

Детская гигиена - 3500р только с 15.04.2026 по 31.05.2026
Срок действия
Осталось 47 дней, до 31 мая
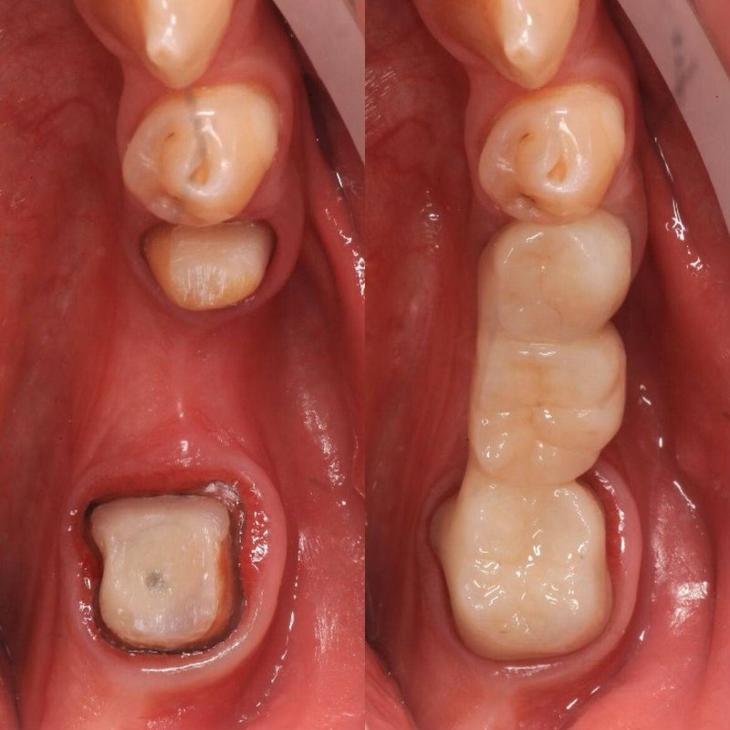
Имплантация зуба вместе с металлокерамической коронкой
Срок действия
Постоянная акция
Фторирование в подарок при детской гигиене зубов
Срок действия
Постоянная акция
Бесплатная консультация всей полости рта в подарок
Срок действия
Постоянная акция
Беспроцентная рассрочка на лечение зубов
Срок действия
Постоянная акция
Акция: бесплатная консультация и КТ
Срок действия
Постоянная акция
Семейная скидка 5%
Срок действия
Постоянная акция
Фторирование в подарок при детской гигиене полости рта
Срок действия
Постоянная акция

Подробнее о компании Рэгем

Что заставляет нас посещать стоматологические клиники? Как правило, на это сподвигает внезапная зубная боль. В стоматологической клинике Рэгем с пониманием отнесутся к вашему случаю. Новейшие технологии в сфере стоматологии помогают нашим специалистам успешно лечить заболевания полости рта и сопутствующие недуги.

Если вы собираетесь добиться ровной и сверкающей улыбки, то работу над ней лучше доверить профессионалам. В стоматологической клинике Рэгем имеется все необходимое для того, чтобы ваши зубы всегда были здоровыми. В нашей стоматологии готовы предоставить услуги лечения кариеса, удаления зубов, компьютерной томографии, отбеливания, исправления прикуса, рентгенологической диагностики, а также установки металлокерамики, брекетов, имплантов, виниров. С нами ваша улыбка будет в надежных руках!

Ваш малыш боится посещать врачей? В нашей стоматологии говорят нет детским страхам! Наши доктора - не просто профессионалы, они смогут найти подход к самым маленьким пациентам.

Записаться на консультацию к нужному специалисту можно по телефону.

Наш рейтинг на порталах
Способы оплаты
картой, наличные

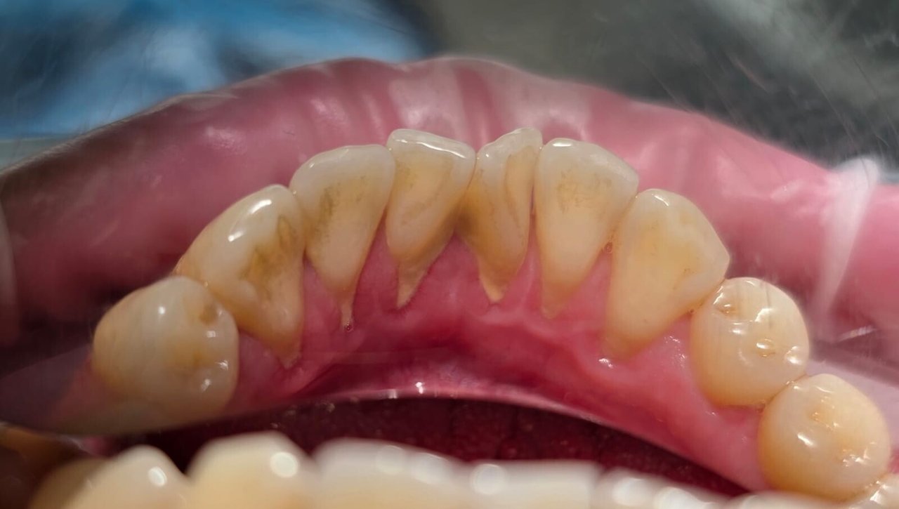
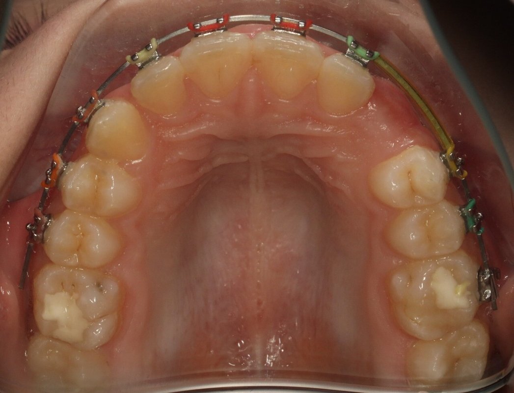
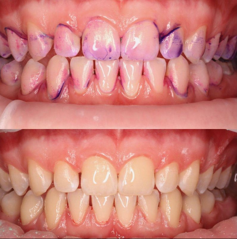
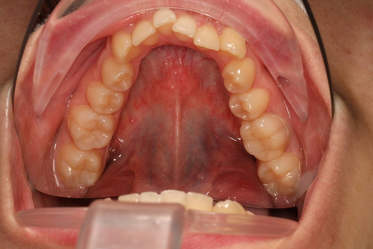
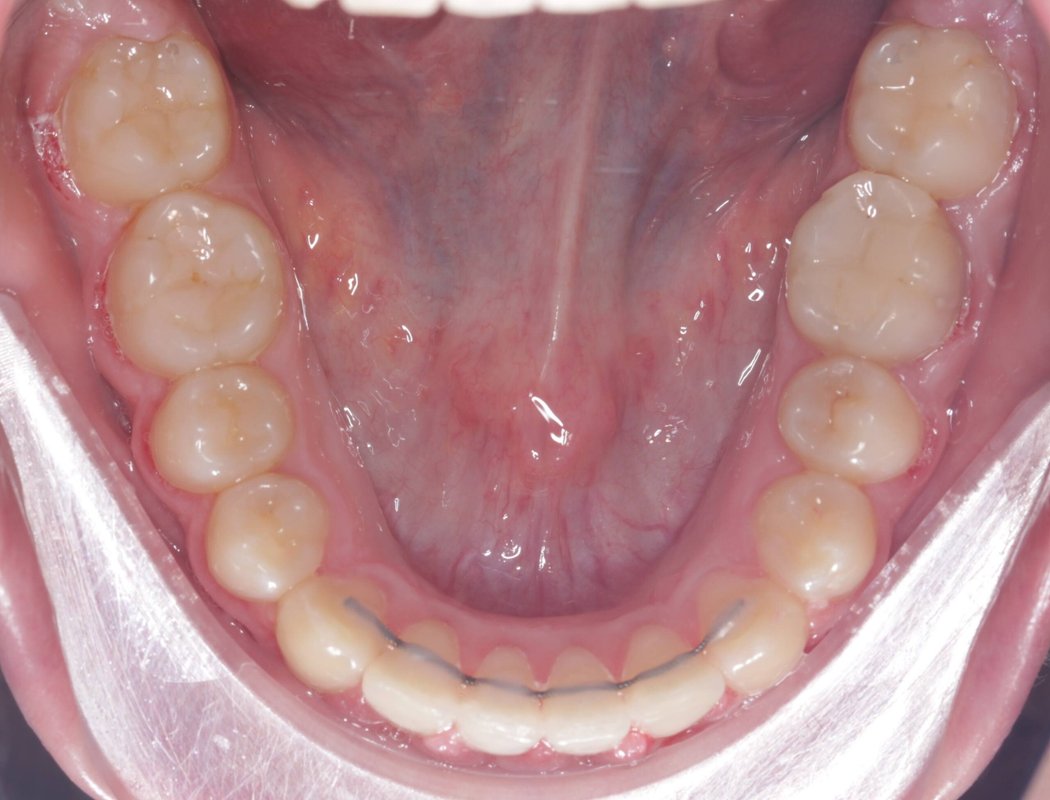
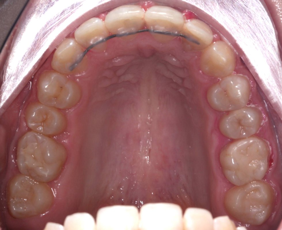
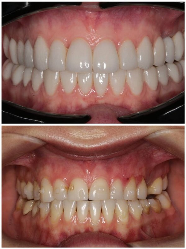
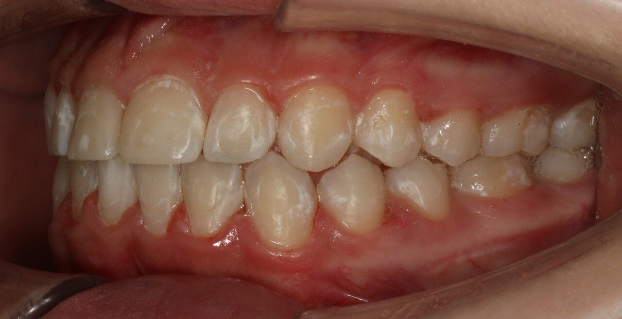
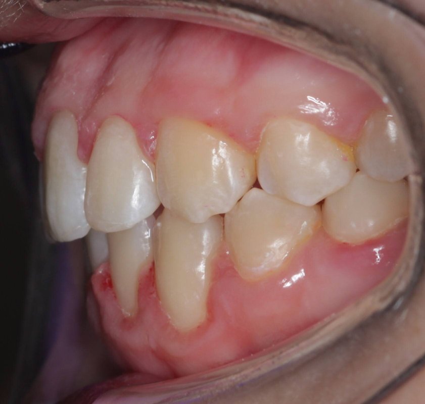
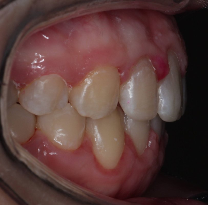
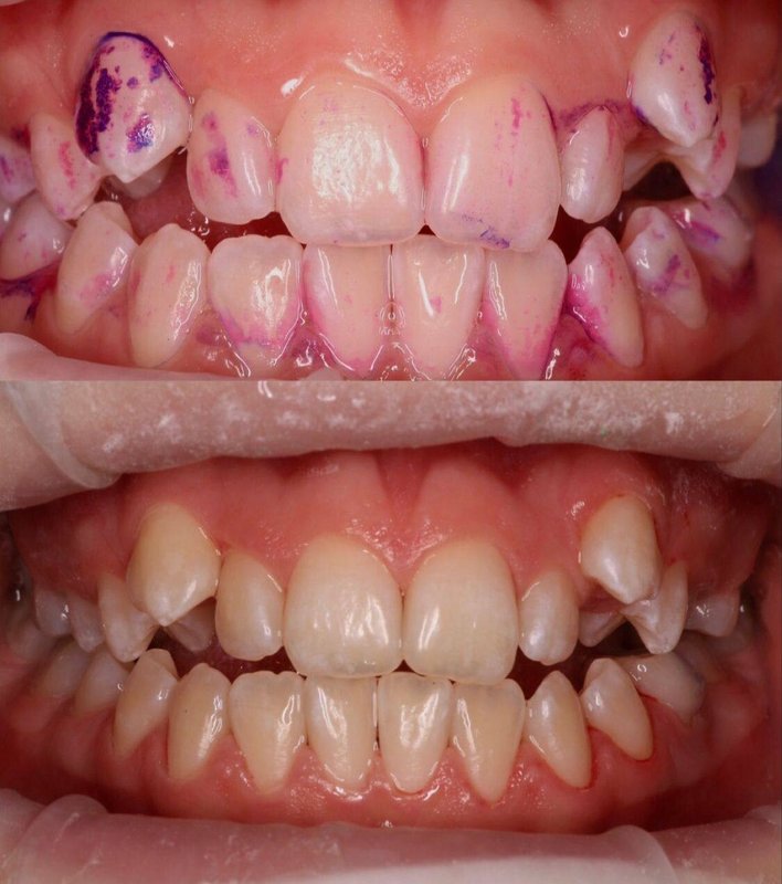
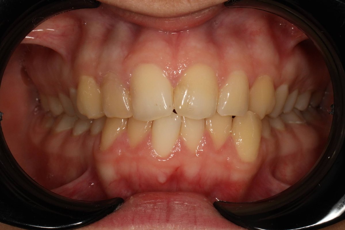
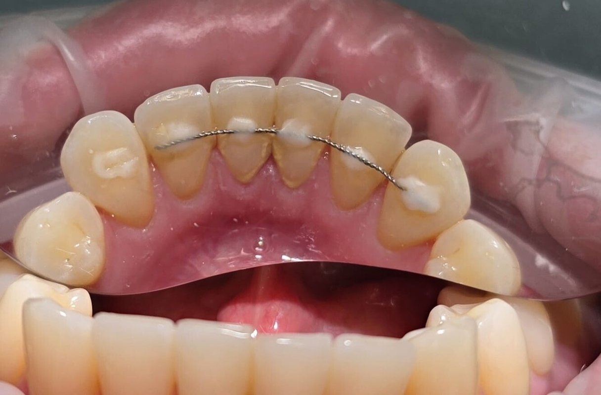
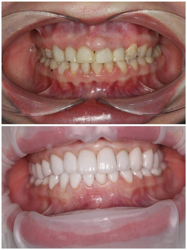
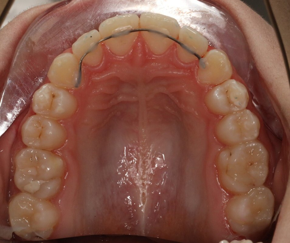
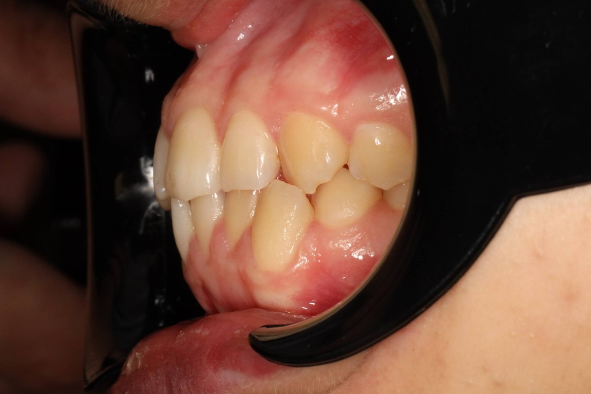
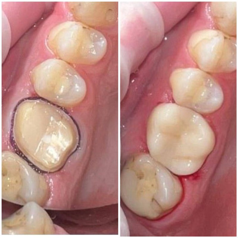
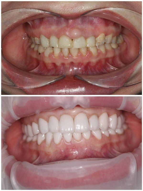
Фотогалерея

Специалисты

Дарина Локмановна Айбазова
Дарина Локмановна Айбазова
Комплексная услуга: консультация врача-стоматолога Диагностика, составление плана лечения, совместно с другими специалистами Проведение профессиональной чистки зубов с помощью ультразвукового аппарата, Air Flow (только взрослые) Лечение кариеса и не кариозных поражений зубов (взрослые) Лечение пульпита и периодонтита Лечение корневых каналов с применением ручных и машинных эндодонтических инструментов у взрослых Перелечивание корневых каналов, извлечение инструментов из корневых каналов Пломбирование корневых каналов с использованием гуттаперчи методом одного штифта и латеральной конденсации с обязательным рентгеновским контролем Извлечение штифтов, вкладок Художественная реставрация фронтальной и боковой группы зубов, в технике минимально инвазивного препарирования зубов Лечение под микроскопом Специализация лечение кариеса лечение периодонтита лечение пульпита реставрация зубов снятие зубного камня эстетическая реставрация зубов отбеливание зубов Zoom4
Андрей Игоревич Быков
Андрей Игоревич Быков
Профессиональные навыки: Диагностика: Ортопантомограмма Визиограф Компьютерная томография Хирургия. Перечень манипуляций, по которым ведется прием: Удаление зубов любой степени сложности; Костная пластика («открытый синус-лифтинг», «закрытый синус-лифтинг», «направленная костная регенерация»); Операции при воспалительных процессах (вскрытие абсцессов); Дентальная имплантация в т.ч. с применением костно-замещающих технологий; Работа с системами имплантатов: «ANKYLOS», «ASTRA TECH», «DENTIUM», «OSSTEM», «NOBEL».
Оруджали Акифович Мамедов
Оруджали Акифович Мамедов
Профессиональные навыки:



Диагностика:
Компьютерная томография зубов и полости рта
Ортопантомограмма
Визиограф
Исследования на диагностических моделях
Сканирование зубов


Эстетическая и ортопедическая стоматология:
Владеет современными методиками:

микропротезирование: установка вкладок (накладок: керамика и композит), коронок, эстетическая реставрация улыбки с помощью виниров;
протезирование на имплантатах;
протезирование культевыми вкладками;
все виды съёмного протезирования;
восстановление зубного ряда за один день на 4-х имплантатах.
Ортопедическое лечение проводит под увеличением: дентальным микроскопом или с применением бинокулярной оптики.



Проведение консультаций и профилактических осмотров.
Алин Мохамадовна Едрис
Алин Мохамадовна Едрис
Чем Вам может быть полезен доктор?
-Профессиональная гигиена полости рта любой сложности;
-Профессиональная гигиена полости рта под седацией;
-Определение подходящей методики под индивидуальный клинический случай;
-Консультация и рекомендация индивидуальной программы по уходу за полостью рта.
Алина Артыковна Хурья
Алина Артыковна Хурья
Профессиональные навыки:
Диагностика:
Ортопантомограмма
Визиограф
Компьютерная томография

Хирургия. Перечень манипуляций, по которым ведется прием:
Удаление зубов любой степени сложности.
Ахмад Маъмурович Каландаров
Ахмад Маъмурович Каландаров

Каландаров Ахмад Маъмурович является ортодонтом. Раздумывая о визите к стоматологу-ортодонту, следует помнить, что неправильный прикус - не просто эстетическая проблема. Зубочелюстные деформации влияют на работу мышц шеи, строение позвоночника и даже на осанку. Ортодонтическое лечение длится достаточно долго, однако это всякий раз является важным вложением в качество жизни и собственное здоровье.

Ксения Александровна Нагорнова
Ксения Александровна Нагорнова
Комплексная услуга: консультация врача-стоматолога. Диагностика, составление плана лечения, совместно с другими специалистами. Проведение профессиональной чистки зубов с помощью ультразвукового аппарата, Air Flow (только взрослые). Лечение кариеса и не кариозных поражений зубов (взрослые). Лечение пульпита. Лечение корневых каналов с применением ручных и машинных эндодонтических инструментов у взрослых. Художественная реставрация фронтальной и боковой группы зубов, в технике минимально инвазивного препарирования зубов. Специализация: лечение кариеса лечение пульпита реставрация зубов снятие зубного камня эстетическая реставрация зубов отбеливание зубов Zoom4

Лицензии, награды, сертификаты

Отображены доступные лицензии

Отзывы

5,0
Вадим
Недавно я пришел, чтобы сделать чистку. Мне очень понравилось обслуживание и отношение персонала, особенно было приятно общаться с врачом - она настоящая душа на работе. Процедура прошла отлично, мне показали всё, объяснили, я заметил, что пятна на зубах действительно исчезли. Всё было сделано качественно и профессионально, персонал приятный. Выбрал клинику, потому что она находится прямо в моём доме, комфорт и удобство для меня важны.
11 апреля 2026 Отзыв взят с сайта Zoon.ru
5,0
Анастасия
Мне понравилось абсолютно всё: комфортная атмосфера и красивый интерьер. Лечил меня очень хороший доктор - вежливый и качественный специалист. Я проходила именно лечение, качество услуг действительно отличное.
11 апреля 2026 Отзыв взят с сайта Zoon.ru
5,0
Римма
Доктор Алин Мохамадовна Едрис - отличный специалист. Главное для меня, чтобы детям было комфортно. Моим детям 11 и 6 лет, доктор действительно находит подход к каждому из них, общается и даже играет, так что дети теперь говорят, что будут лечиться только у доктора Алин. На последнем приёме мы лечили каналы, процесс ещё продолжается, но уже есть доверие к доктору и клинике в целом.
11 апреля 2026 Отзыв взят с сайта Zoon.ru
5,0
Хая
Мы с детьми уже не раз здесь были, в последний раз лечили зуб ребёнка у доктора Алин Мохамадовны Едрис. Перед лечением сделали снимок, на основании диагностики доктор провела лечение и расписала план дальнейшего долечивания. Для меня было важно, как врач найдёт подход к ребёнку, я осталась полностью довольна. Доктор проявила терпение, общалась с малышом доброжелательно и весело, поэтому ребёнок её полюбил.
10 апреля 2026 Отзыв взят с сайта Zoon.ru
5,0
Анна
Я приходила на первичную консультацию по поводу имплантации. Мне было интересно познакомиться с клиникой, узнать цены и посмотреть на качество работы изнутри. Впечатления остались самые положительные. Внутри очень уютно и чисто, все оборудование новенькое. Доктор мне очень понравился своей внимательностью и вовлеченностью. Он максимально детально рассказал обо всем, что меня интересовало. Мне четко и по пунктам расписали план лечения. Все было очень профессионально и вежливо, отношение к клиентам на высоте. Пока я еще думаю над самим лечением, но само знакомство прошло отлично.
30 марта 2026 Отзыв взят с сайта Zoon.ru
5,0
Дарья
Хочу отметить доктора Дарину Локмановну, она потрясающая профессионалка и очень внимательный человек. У меня был зуб, который нужно было переделывать, она подошла к делу с большим пониманием и старанием. Не просто провела стандартную процедуру, а действительно докопалась до сути и исправила все так, что результат превзошел ожидания. В клинике очень вежливый персонал, все новое и красивое, мне очень понравилось.
30 марта 2026 Отзыв взят с сайта Zoon.ru
5,0
Вера
Понравился человеческий подход. Это уже была третья клиника, куда мы пришли. В ней чувствуется, что доктора говорят правду и не пытаются навязать лишние услуги. Лечим молочный зуб у ребенка. Хотя лечение еще не завершено, все проходит четко, профессионально и правильно. Врач принимает в те дни, когда удобно мне, что очень комфортно лично для меня. Я обязательно вернусь в клинику, потому что действительно заботятся о пациентах.
24 марта 2026 Отзыв взят с сайта Zoon.ru
5,0
Елена
Доброжелательность врача Нигяр Исраиловны, качество работы и материалов оставили очень хорошее впечатление. Доктор мне удалила корень зуба, прочистила и поставила пломбу. После неудачного опыта у другого стоматолога здесь меня все устроило.
20 марта 2026 Отзыв взят с сайта Zoon.ru
5,0
Наталья
Мы давно стали постоянными пациентами этой клиники и чувствуем себя здесь как дома, словно приходим к близким людям. Персонал встречает с теплотой, ни один вопрос не остается без внимания, всегда помогают и поддерживают. Все доктора настоящие профессионалы, при этом подробно рассказывают о каждом этапе лечения: зачем нужна та или иная процедура и почему это необходимо. Недавно мой сын лечил кариес и делал чистку у детского стоматолога. Для меня важно, что он сам спокойно идет к врачу, никогда не говорил, что испугался или было неприятно. После процедуры ему доступно объяснили, почему нельзя употреблять красящие продукты и напитки. Я вижу отличный результат и полностью довольна.
13 марта 2026 Отзыв взят с сайта Zoon.ru
5,0
Анонимный пользователь
Ставил коронки недавно, все сделали аккуратно и на должном уровне, цены тоже подошли. Хочу особо подчеркнуть работу Мамедовой Нигяр, она выполнила все отлично и общалась очень тактично.
13 марта 2026 Отзыв взят с сайта Zoon.ru
5,0
Анонимный пользователь
В клинике соблюдается порядок и чистота, работники и руководство внимательны и приветливы. Врач Нигяр Мамедова демонстрирует глубокие знания своей профессии. Во время приёма мне заменили препарат и провели лечение зуба, что прошло комфортно и эффективно.
13 марта 2026 Отзыв взят с сайта Zoon.ru
5,0
Шахназ Долгих
Недавно посещала клинику вместе с ребёнком для лечения кариеса. Доктор Нигяр Исраиловна Мамедова замечательный специалист, мы наблюдаемся у неё уже длительное время и ни одного раза не испытывали неприятных ощущений. В самой клинике создана комфортная атмосфера: угощают ароматным кофе, везде царит тишина, поддерживается чистота и порядок.
12 марта 2026 Отзыв взят с сайта Zoon.ru
4,0
Ксения
Ребенку 2-х лет провели осмотр, врач заметила у него пятнышко. А еще мне здесь сделали чистку зубов, принимала нас одна девушка-доктор. Больше всего мне понравилось то, что всё новое: свежий ремонт, современная техника и мебель.
10 марта 2026 Отзыв взят с сайта Zoon.ru
5,0
Мария
Меня приятно поразили доброжелательность и учтивость доктора и администратора. В клинике царила чистота и порядок, прием всегда начинался вовремя, предварительно мне звонили для напоминания, и самое важное то, что организация располагается непосредственно в моем доме. Я обратилась за медицинской помощью после извлечения зуба мудрости из-за болезненных ощущений в ухе. Доктор Алина терпеливо выслушала мои жалобы и помогла устранить болевой синдром, ухо больше не доставляет дискомфорта. Посетила ее два раза для промывания лунки и сейчас продолжаю курс лечения.
5 марта 2026 Отзыв взят с сайта Zoon.ru
5,0
Анастасия
В клинике очень чистая и уютная атмосфера. Я пришла, чтобы убрать излишки пломбы, которые доставляли дискомфорт, доктор быстро и качественно решил проблему. Он работал аккуратно, подробно объяснял все свои действия и дал рекомендации по дальнейшему лечению.
18 февраля 2026 Отзыв взят с сайта Zoon.ru
5,0
Сергей
Остался доволен обслуживанием в клинике: персонал приветливый, все разъяснили понятным языком. Стоимость услуг также устраивает. Пришел для компьютерной томографии всей зубной полости и челюсти, плюс для установки коронки и получения консультации по дальнейшему лечению зубов. КТ провели максимально оперативно, быстрее чем в других местах. Сразу после процедуры попал на прием к ортодонту, который выявил воспалительный процесс, связанный с постоянным кашлем, и предоставил рекомендации по лечению.
17 февраля 2026 Отзыв взят с сайта Zoon.ru
5,0
Екатерина
В клинике сразу почувствовала заботу и внимание. Врач детально объяснил процесс удаления, рассказал о возможных последствиях и дал четкие рекомендации. После процедуры у меня долго держался отек, но когда позвонила, мне все доступно разъяснили и успокоили, что это нормально. Через 3 дня отек действительно исчез. До этого посещала разные стоматологии, поэтому могу сравнить - здесь работают настоящие профессионалы!
12 февраля 2026 Отзыв взят с сайта Zoon.ru
5,0
Надежда
Проходила профессиональную гигиену - всё понравилось: врач оказался приятным и внимательным человеком. Он подробно объяснил, как ухаживать за полостью рта, что использовать и почему. Во время приёма сделали панорамный снимок, обсудили состояние всех зубов, дали чёткие рекомендации - чувствовалось, что подход индивидуальный и не формальный. Записалась туда по совету знакомой и благодаря акции, но осталась довольна качеством.
12 февраля 2026 Отзыв взят с сайта Zoon.ru
5,0
Татьяна
В клинике очень внимательные врачи, всё объясняют, следят за состоянием, вовремя вызывают на приём, чтобы проверить, как идёт лечение. Мне делали пломбу, удаляли зуб и ставили имплант, всё прошло быстро, качественно и недорого.
12 февраля 2026 Отзыв взят с сайта Zoon.ru
5,0
Александр
На этот раз мне удалили зуб, всё прошло безболезненно, быстро и чётко. Врач подробно проконсультировал до процедуры и после неё, дал понятные рекомендации по уходу. Никакого дискомфорта, только профессиональный подход и своевременное обслуживание.
11 февраля 2026 Отзыв взят с сайта Zoon.ru
5,0
Александр
Мне подробно объяснили все нюансы, ничего не скрывали, это для меня очень важно. Я получил всю необходимую информацию по стоимости услуг, что помогло мне сориентироваться. Мы были с мамой, чтобы подправить ей протезы, прием прошел отлично, доктор проявил прекрасное взаимопонимание и дал ответы на все мои вопросы. Пока из-за особенностей здоровья мамы и финансовых причин не можем продолжить лечение, но обязательно вернемся.
28 января 2026 Отзыв взят с сайта Zoon.ru
5,0
Дмитрий
Хорошая клиника, все работает нормально. Вежливый доктор, спрашивает, все ли в порядке, работает по всем канонам. Записались при первом посещении. когда мне меняли ретейнер, это было удобно. Нас пригласили на совместный прием с супругой по акции, дали скидку на профгигиену, сделали снимок челюсти, по которому провели консультацию. Встретили с улыбкой, предложили чай или кофе. Общее впечатление очень хорошее.
28 января 2026 Отзыв взят с сайта Zoon.ru
5,0
Вера
Я посетила клинику для профессиональной гигиены полости рта и осталась очень довольна. После чистки я была на консультации у врача-терапевта, который очень доступно объяснил мне результаты КТ, что именно нужно делать и зачем, хотя я далека от стоматологии. Мне понравилось абсолютно всё: от ресепшена до завершения процедуры. Администраторы были вежливы, предложили чай или кофе, зона ожидания удобная и комфортная.
28 января 2026 Отзыв взят с сайта Zoon.ru
5,0
Варвара
Обратились в эту клинику для выравнивания зубов и челюсти ребёнку. Меня впечатлила грамотность врача - я до этого консультировалась у 2-х других ортодонтов, которые дали совершенно разные мнения, но именно этот врач убедил меня своей компетентностью. Он подробно объяснял всё, отвечал на все вопросы и нашёл верный подход. Также хочу отметить любезность сотрудников и администраторов: они были очень корректны и тактичны. Ребёнку понравился подарок после визита!
28 января 2026 Отзыв взят с сайта Zoon.ru
5,0
Анастасия
Приём, обслуживание и работа врача, всё прошло отлично. Понравился подход к клиенту, врач внимательно осмотрел и качественно восстановил зуб. Выбрала эту клинику из-за удобного расположения, близко к дому.
28 января 2026 Отзыв взят с сайта Zoon.ru
5,0
Виктория
Мне нравится профессиональный подход в клинике. В клинике предоставляется рассрочка, очень вежливые сотрудники и хорошие доктора. Хожу сюда с августа, и у меня нет какого-то плохого доктора: и хирург, и ортопед, и терапевт предоставляют мне полноценную услугу и комфорт.
27 января 2026 Отзыв взят с сайта Zoon.ru
5,0
Наталья
Меня хорошо приняли на консультации, все рассказали, сделали рентген и расписали весь план лечения. Врач Мамедов Оруджали проявил тактичность, аккуратность, вежливость и спокойствие, не навязывал услуги, дал несколько вариантов лечения. Клиника произвела хорошее впечатление, врачи здесь профессионалы, местоположение удобное.
26 января 2026 Отзыв взят с сайта Zoon.ru
5,0
Станислав
Клиника находится прямо в моем доме, что очень удобно. Она недавно открылась, внутри чисто и приятная атмосфера. Персонал здесь знающий. Мне пришлось срочно удалять зуб из-за кисты, а в праздники большинство клиник не работало. Тут помогли оперативно. Процедура была непростой, но врач все сделал аккуратно, объяснил ход лечения и дал рекомендации. После операции хирург детально расписал правила ухода и даже позвонил, чтобы узнать самочувствие. Это внимательное отношение. Обязательно вернусь сюда на профессиональную чистку.
16 января 2026 Отзыв взят с сайта Zoon.ru
5,0
Анастасия
В клинике все прошло отлично, я осталась довольна. Мне сделали чистку, врач была очень доброжелательной и заботливой. Она подробно объяснила, как ухаживать за кожей после процедуры и что стоит включить в рацион.
14 января 2026 Отзыв взят с сайта Zoon.ru
5,0
Шамиль
Я хожу в эту клинику, потому что она рядом с моим домом. Здесь мне удалили зуб, и процедура прошла спокойно, без неприятных ощущений. Лунка зажила быстро, осложнений не было. Потом я снова пришел на осмотр, чтобы удостовериться, что все хорошо.
13 января 2026 Отзыв взят с сайта Zoon.ru
5,0
Полина
Мне удаляли восьмёрки в этой клинике, всё прошло очень хорошо и быстро. Доктор внимательный: он осмотрел состояние других зубов, на которые я не жаловалась и дал рекомендации, к кому дальше обратиться. Во время самой операции он постоянно спрашивал, всё ли в порядке, а после удаления поинтересовался моим самочувствием в последующие дни. Также он прописал необходимые лекарства и обезболивающее. Я была в клинике 2 раза - на операции и повторном осмотре, оба визита оставили самые положительные впечатления.
24 декабря 2025 Отзыв взят с сайта Zoon.ru
5,0
Тимур
На ресепшене царила дружелюбная обстановка, документы оформили быстро и предложили кофе. Привез малыша на удаление молочных зубов, для меня принципиально важно было, чтобы персонал находил правильный подход и ребенок не переживал. В клинике сумели создать комфортную атмосферу, теперь малыш спокойно соглашается на повторные визиты.
14 декабря 2025 Отзыв взят с сайта Zoon.ru
5,0
Александр
Приходил на пломбирование зуба и остался доволен качеством работы персонала и отношением к пациентам в этой клинике. Процедуру выполнили аккуратно и совершенно без боли, предоставили все нужные советы по дальнейшему уходу. Врач продемонстрировал превосходную компетентность в своей области. Меня впечатлила оперативность записи на прием, сама клиника оставляет положительные эмоции от всех услуг, включая компьютерную томографию и стандартные манипуляции.
14 декабря 2025 Отзыв взят с сайта Zoon.ru
5,0
Кирилл
Приходил на консультацию к ортодонту, чтобы посмотреть условия и посчитать стоимость будущего лечения. Врач всё понятно объяснил доступным языком, проявил себя как культурный и внимательный профессионал. После приёма мне дали полезные рекомендации в письменном и устном формате, где подробно расписали план лечения. Я выбрал эту клинику, потому что она находится рядом с домом.
11 декабря 2025 Отзыв взят с сайта Zoon.ru
5,0
Людмила
Не возникло никаких осложнений, потому что все сделали быстро и комфортно. Врач Нигяр очень профессиональный специалист, мне понравилась, все нормально. Долго ждать не пришлось, повторно ездить тоже. Болей не было, осложнений не было, а при лечении зубов это самое главное. Девушка на ресепшене была приветливая, дали номер телефона врача, записали, приехала и сразу сделали.
11 декабря 2025 Отзыв взят с сайта Zoon.ru
5,0
Алена
Пришла на консультацию к ортодонту со своим ребёнком. Врач оказался грамотным! Я уже была у 2 других ортодонтов и понимала нашу ситуацию, поэтому смогла оценить его компетентность. Он уделил нам полноценное внимание, консультация длилась около часа. По итогу врач дал подробные рекомендации, касающиеся именно нашей проблемы. Меня сразу порадовала обстановка: при входе есть удобная раздевалка, а для детей предусмотрено занятие, что очень важно для таких мелочей. Администратор проявила себя очень хорошо - всё было чётко, конкретно по делу и уважительно, чувствуется настоящая клиентоориентированность.
9 декабря 2025 Отзыв взят с сайта Zoon.ru
5,0
Анонимный пользователь
Хорошая консультация квалифицированного ортодонта оставила отличное впечатление. Нам подробно и доступно объяснили, что с зубами и деснами, и что нужно делать дальше. Мы сейчас обдумываем рекомендации и, скорее всего, вернёмся снова. На ресепшене прекрасное обслуживание, клиника чистая и красивая.
9 декабря 2025 Отзыв взят с сайта Zoon.ru
5,0
Мария
Очень понравился профессионализм врача: он дал подробную консультацию перед установкой импланта, был очень внимательным, ответил на все мои вопросы и всё понятно объяснил. Выбрала клинику по рекомендации знакомых и нисколько не пожалела!
9 декабря 2025 Отзыв взят с сайта Zoon.ru
5,0
Анонимный пользователь
В клинике работают отличные специалисты, здесь чувствуется современный подход и комфортная атмосфера. Мне пришлось обратиться к стоматологу-хирургу из-за сильной боли в зубе. Врач сразу нашел причину, объяснил ситуацию и провел необходимое лечение, при этом держался очень дружелюбно.
9 декабря 2025 Отзыв взят с сайта Zoon.ru
5,0
Анна
Я приходила в стоматологическую клинику на гигиеническую чистку зубов и осталась очень довольна. Хотя сама процедура далеко не самая приятная, мне очень понравилась внимательная и вежливая девушка-врач, которая была очень нежной в общении. Врач дала рекомендации делать чистку каждые 3 месяца.
8 декабря 2025 Отзыв взят с сайта Zoon.ru
5,0
Виктория
Врач работала очень профессионально, все сделала быстро, аккуратно и без боли. Она проявила внимательность и заботу, учла все детали. Перед началом лечения сделали снимки, провели диагностику, подробно рассказали о процессе и возможных последствиях, если его не проводить. Я уже была здесь 2 раза и собираюсь прийти еще 3 или 4 раза через несколько месяцев.
3 декабря 2025 Отзыв взят с сайта Zoon.ru
5,0
Надежда
Очень добродушный персонал, все внимательны, рассказывают, вопросы решаются, все на своем месте. Врач, к которому приходила на имплантацию, хороший мужчина, все объяснил. Девушки на ресепшен поддерживают, все рассказывают и уточняют, молодцы.
8 ноября 2025 Отзыв взят с сайта Zoon.ru
5,0
Марина
Мне оперативно удалили 2 зуба, без осложнений, всё зажило прекрасно. Особенно хочу отметить профессионализм стоматолога-хирурга - Алины Артыковны. Вежливость, аккуратность и грамотный подход - это для меня очень важно в стоматологии. Врач действительно квалифицированный, за всё моё время обращений к стоматологам это был лучший опыт.
8 ноября 2025 Отзыв взят с сайта Zoon.ru
5,0
Наталья
Приходила на гигиену полости рта, доктор хорошо оказал услугу. Он проявил профессионализм, приветливость и аккуратность, дружелюбие, после процедуры дал рекомендации по уходу за зубами. Атмосфера в клинике приятная, уютная и располагающая.
8 ноября 2025 Отзыв взят с сайта Zoon.ru
5,0
Шон
Удалили у меня шестерку, все прошло безболезненно, хотя считается, что эта процедура сложная. В целом мне очень понравилось, все сделали хорошо, ничто не беспокоит. После посещения в пятницу мне нужно было подойти вновь, но из-за личных проблем не получилось.
7 ноября 2025 Отзыв взят с сайта Zoon.ru
5,0
Гульнара
Мне очень понравилось, как врач аккуратно провела удаление зуба, заживление прошло без проблем. Доктор оказалась очень внимательным специалистом, мы с ней сразу нашли общий язык, и вся процедура прошла успешно. Особенно приятно отметить вежливое обслуживание, добродушный и заботливый персонал, безупречную чистоту в клинике и приятную душевную атмосферу, которая располагает к себе.
27 октября 2025 Отзыв взят с сайта Zoon.ru
5,0
Кира
Вежливость, забота и внимательность всего персонала приятно удивили меня. Доктор доступно все объяснил, общение было понятным и комфортным. Приходила к ортодонту и терапевту, осталась очень довольна!
27 октября 2025 Отзыв взят с сайта Zoon.ru
5,0
Ирина
Мне очень понравился доктор, качественные материалы и отличное качество работы - обращаюсь сюда не в первый раз. Раньше в других клиниках пломбы приходилось переделывать через год, они выглядели изношенными и даже отваливались кусками. Там мне не дали полной информации и работу сделали плохо. Здесь же сделали всё отлично, включая рентген и консультацию. В этот раз я была у Нигяр Исраиловны Мамедовой, и осталась очень довольна.
22 октября 2025 Отзыв взят с сайта Zoon.ru
5,0
Ольга
Доктор очень хороший, у него золотые руки - быстро, без боли и все на свете сделал. Общался прекрасно, после удаления предоставил все рекомендации и выписку, на словах все объяснил. Я выбрала именно этого доктора - Андрея Игоревича Быкова.
22 октября 2025 Отзыв взят с сайта Zoon.ru
5,0
Шахназ
Я уже давно выбираю эту стоматологию для лечения и всегда уверена в профессионализме врачей. Особенно приятно было видеть, как бережно и с терпением доктор обращалась с моим ребенком - она отлично находила общий язык, подробно объясняла каждый этап и проводила лечение с большой аккуратностью. Благодарю за внимательное отношение и заботу!
18 октября 2025 Отзыв взят с сайта Zoon.ru
5,0
Ачахмат
Очень довольна качеством работы и сервисом в клинике. Мне поставили коронки - теперь все замечательно, никаких болевых ощущений нет. Доктор Ислам Азаматович вместе со всей командой отнеслись ко мне очень деликатно, все процедуры выполнили быстро и профессионально.
18 октября 2025 Отзыв взят с сайта Zoon.ru
5,0
Анна
Мне сделали комплексную чистку, и я осталась довольна подходом - весь процесс подробно объяснили, рассказали, что именно будет происходить, отнеслись с большим вниманием. Доктора Нигяр, хирург Алина и Дарина доказали свой высокий профессионализм, выполнили работу безупречно, при этом общение было очень чутким и доброжелательным.
17 октября 2025 Отзыв взят с сайта Zoon.ru
5,0
Наталья
У меня остались только приятные впечатления: персонал был доброжелательным и достаточно квалифицированным, врачи объясняли все четко и доступно, подробно обосновывали назначенные процедуры. Мне предоставили бесплатную консультацию и провели гигиеническую чистку, после чего дали полезные советы по уходу, особенно по частоте проведения процедуры. Отдельно хочу отметить доктора Мамедову Нигяр - она очень объективна, не пытается навязать лишнее и честно оценивает ситуацию.
17 октября 2025 Отзыв взят с сайта Zoon.ru
4,0
Ева
Лечила пульпит, результатом довольна - самочувствие сразу стало лучше. Врач относился ко мне с вниманием и вежливостью, все рекомендации по уходу после процедуры получила. Мне назначили повторный визит и прописали обезболивающие препараты.
7 октября 2025 Отзыв взят с сайта Zoon.ru
5,0
Жасмина
Я осталась полностью довольна: лечение прошло на отлично, коллектив оказался очень приветливым, врач проявил себя отлично. Мне ставили пломбу, качество работы действительно впечатлило. Больше всего хочу подчеркнуть аккуратность и ответственность стоматолога - в целом, все было замечательно.
16 сентября 2025 Отзыв взят с сайта Zoon.ru
5,0
Шамиль
В клинике меня приятно удивило внимание и профессионализм персонала, а также строгие нормы гигиены, которые соблюдаются на высоком уровне. Лечением глубокого кариеса занималась Мамедова Нигяр, именно тот специалист, которого я и искал. Опираясь на свой опыт, могу уверенно сказать, что лечение проведено отлично, врач справилась со своей задачей безупречно!
15 сентября 2025 Отзыв взят с сайта Zoon.ru
5,0
Ольга
Мне действительно понравилось, как внимательно и профессионально работали врачи и медсестра - у них была отличная слаженность в работе. Они щедро поделились полезными рекомендациями по уходу за зубами и протезированию. Уровень обслуживания просто на высшем уровне: уютно, комфортно и приятно находиться там в роли пациента. В последнее посещение мне сделали чистку зубного камня, и я осталась очень довольна результатом! До этого проходила рентген, где также получила отличное внимание от специалиста.
15 сентября 2025 Отзыв взят с сайта Zoon.ru
5,0
Вика
Прекрасное впечатление о клинике и персонале. Очень быстро , без боли и качественно провели чистку Зубов и полечили два кариеса . Спасибо огромное!
6 сентября 2025 Отзыв взят с сайта Zoon.ru
5,0
Екатерина Белова
Преимущества: Спасибо за качественную чистку зубов , все прошло без боли )
1 сентября 2025 Отзыв взят с сайта Zoon.ru
5,0
Галина
Была на консультации по поводу имплантации у Алины Артыковны. Доктор всё подробно расписала по плану лечения. Спасибо
26 августа 2025 Отзыв взят с сайта Zoon.ru
5,0
Заур
Недавно я посетил клинику, чтобы сделать профессиональную гигиену полости рта. Поскольку недавно поставил виниры, считаю важным проходить такую процедуру хотя бы раз в год для профилактики. Хочу отметить высокий уровень профессионализма и квалификацию персонала – благодаря им всё прошло без малейшего дискомфорта. Мне даже не пришлось задавать вопросы, потому что все объяснили доступно и быстро.
25 августа 2025 Отзыв взят с сайта Zoon.ru
5,0
Виктория Соловьева
Ислам Азаматович и другие врачи — настоящие профессионалы: обходительные, опытные и внимательные. Я проходила терапию и хирургическое лечение, все процедуры выполнены аккуратно и безболезненно. Кроме того, меня приятно порадовали девушки на ресепшне. Удобное расположение прямо в моем доме стало решающим фактором при выборе, но теперь остаюсь здесь надолго для наблюдения после имплантации.
14 августа 2025 Отзыв взят с сайта Zoon.ru
5,0
Николай
Посещал данную стоматологию. Сделал чистку Зубов по акции. Всё понравилось. Рекомендую
30 июля 2025 Отзыв взят с сайта Zoon.ru
Удалить отзыв

Остались вопросы?

Вы можете воспользоваться любым из указанных способов связи
Контактный номер
+7 (904) 567-08-... Показать